8月21日,beat365在线唯一官网二院心外科主任田海教授团队应用MemoClip经心尖二尖瓣夹系统,成功为一位58岁、合并多器官功能障碍的二尖瓣重度反流患者实施了经心尖二尖瓣夹合手术。目前国内关于该类型手术的临床开展经验尚少,此例手术为东北三省首例。此项技术的开展为东北地区众多二尖瓣反流患者提供了治疗新策略,带来新希望。

田海教授团队经胸小切口行经心尖二尖瓣夹手术
58岁的赵先生(化姓)胸闷气短一个月,来到beat365在线唯一官网二院进行心脏彩超发现二尖瓣关闭不全,需要外科手术治疗。但入院后肺CT及肺功提示肺功能差,赵先生非常恐惧排斥传统的正中开胸手术,希望能进行微创手术。

经心尖二尖瓣夹系统

经心尖输送二尖瓣夹示意图
了解到赵先生的情况后,田海带领团队对病例充分讨论,最终决定应用MemoClip经心尖二尖瓣夹系统,为其进行经心尖二尖瓣夹合手术。
田海介绍,经心尖二尖瓣夹系统适用于二尖瓣病变导致的显著性二尖瓣反流者,此方法无需传统的体外循环、心脏停跳,完全在超声引导下完成,更大程度地避免了手术创伤,创伤小、恢复快,并且其手术入路距离二尖瓣较近、操控性更加灵活,在处理1区、3区瓣叶关闭不全等复杂二尖瓣关闭不全时相对其它微创方法更有优势、治疗效果也更加确切。赵先生二尖瓣重度反流,符合此术式的适应症。而且赵先生反流位置位于后叶P3区瓣下腱索短小密集,且伴有断裂漂浮的腱索,夹子容易刮到,使术中夹合器置于合适位置、瓣叶捕获夹合等操作的难度大大增加。

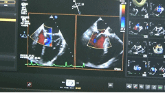
完全在超声引导下完成二尖瓣夹的定位、瓣叶抓取和二尖瓣夹的释放
手术中,田海团队应用经心尖二尖瓣夹系统在超声实时引导下将二尖瓣夹输送至二尖瓣位置,分别夹住二尖瓣前、后瓣的病变位置从而有效降低反流,顺利完成经心尖的二尖瓣成形手术。术后当日即脱离呼吸机并由重症监护室转回普通病房。

术后切口仅为4cm
田海表示,随着我国人口老龄化,二尖瓣关闭不全的发病率不断升高,高龄高危患者比例也在不断升高,很多高龄、心功能差、合并症多的高危二尖瓣关闭不全患者无法耐受常规的外科开放手术而失去治疗机会,二尖瓣夹合技术是目前最新兴的治疗二尖瓣关闭不全的微创介入技术。经心尖二尖瓣夹系统的治疗方式更加符合生理结构,入路短,夹合时对瓣叶应力更加减小,操控性好、术中操作时间短,完全心脏超声引导、避免患者和术者暴露射线,对于心房大小位置要求更宽泛、适用范围更广。但此项技术因其操作技术复杂,对心脏团队要求高,目前国内仅少数心脏中心可以开展。

三维超声确认夹合位置理想

彩色超声多普勒缺认反流明显减少、夹合效果良好
专家提醒,二尖瓣病变是心脏瓣膜病领域最大的病患群体,而二尖瓣反流则是最常见的二尖瓣瓣膜病变,多因先天性异常或后天性病变导致二尖瓣在左心室收缩时无法完全闭合,进而使从左心房流入左心室的血液部分反流回左心房,引起一系列心脏病变和临床症状,严重时可致心力衰竭甚至死亡。因此,被确诊为二尖瓣病变的患者应尽早接受规范化诊疗,越早治疗效果越好。