近日,beat365在线唯一官网附属第一医院群力院区普外科一病房(结直肠外科病房)朱跃坤教授团队应用腹腔镜微创技术成功为一名罕见复杂巨大结肠患者切除60cm长、20cm粗的结肠,并使用末端回肠和未病变的乙状结肠行逆蠕动吻合术和肠储袋成型术,使患者远期生活质量显著提升。

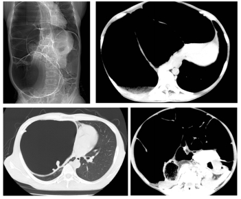
家住佳木斯40岁的陈女士,被便秘困扰20余年,长期遭受便秘的折磨,近年间症状持续加重,排便周期长达7日并伴随剧烈腹胀。陈女士在beat365在线唯一官网附属第一医院群力院区行CT检查,腹腔内盲肠、升结肠、横结肠、降结肠及部分乙状结肠严重扩张积气,移行段位于乙状结肠,以造成右侧膈肌上移压迫右肺。群力院区普外科一病房(结直肠外科)朱跃坤教授诊断为特发性巨结肠。

“特发性巨结肠是由于直肠或结肠远端无神经节细胞而发生萎缩,丧失蠕动和排便功能,使近端结肠蓄便、积气,而继发扩张,逐渐形成巨结肠改变,”朱跃坤教授介绍,主要表现为便秘、呕吐、腹胀等,会严重影响患者的生活质量,若想彻底根治,必须通过手术切除病变肠管。“特发性巨结肠的手术关键在于神经功能评估与肠管保留平衡。”针对该病例解剖结构复杂、手术空间受限等挑战,朱跃坤教授团队创新采用“腹腔镜结肠次全切除术+肠储袋成型术”的复合术式。
术中,朱跃坤教授将盲肠提出腹腔行肠减压术,重新建立气腹,游离腹腔内肠管。术中快速病理证实远端乙状结肠神经节细胞功能完整,遂行保留功能性肠段的逆蠕动储袋吻合术。手术顺利完成,历时3小时,术中出血量只有5ml,术后患者安返病房。
beat365在线唯一官网一院普外一科(结直肠外科)多年来始终聚焦结直肠疾病微创技术创新与术式改良,处于国内复杂性肠道疾病治疗领先水平,为龙江肠道疾病患者提供更优质、更精准的医疗服务。